Serdecznie witamy na stronie
Niepublicznego Zakładu Opieki Zdrowotnej EVA

Pracownia ultrasonograficzna
Nasza pracownia USG wyposażona jest w nowoczesny sprzęt ultrasonograficzny firmy GE Voluson E6.
Voluson E6 firmy GE jest stacjonarnym systemem ultrasonograficznym zaprojektowanym i opartym o technologię firmy KRETZ do zastosowań we wszystkich dziedzinach: radiologia, ginekologia, położnictwo, urologia, kardiologia, badania naczyniowe. Wyjątkowa technologia firmy KRETZ obrazowania 3D/4D, w połączeniu z wysokiej jakości głowicami skanującymi 3-wymiarowo – gwarantuje uzyskanie wysokiej jakości przestrzennych obrazów diagnostycznych, mających akceptację FDA. Osiągalna prędkość skanowania w trybie 4D wynosi do 40 skanów przestrzennych na sekundę, co zapewnia uzyskanie płynnych obrazów.
Tryby pracy Virtual Convex, B – View, obrazowanie harmoniczne, color Doppler, power Doppler, Doppler tkankowy kolorowy, obrazowanie w skrzyżowanych ultradźwiękach, obrazowanie tomograficzne, pomiary objętościowe, obrazowanie 3D serca płodu, obrazowanie panoramiczne. Aparat obsługuje nowoczesne, wieloczęstotliwościowe sondy elektroniczne convexowe wolumetryczne 3D/4D, endovaginalne.
BADANIE USG
Czym jest badanie USG ?
Ultrasonografia czyli inaczej USG jest specjalistycznym badaniem diagnostycznym, które służy do oceny budowy narządów wewnętrznych. Aparat ultrasonograficzny składa się z urządzenia wraz z monitorem oraz sond. Sondy wysyłają i odbierają odbite od tkanek fale ultradźwiękowe. Zebrane echo fal podlega analizie, w wyniku czego tworzy na ekranie monitora obraz badanego narządu.
Jak dobrze przygotować się do badania USG?
Przed badaniem USG należy mieć dobrze wypełniony pęcherz moczowy (wypić 4 szklanki płynu nie później niż ok. 2 godziny przed USG), co pozwoli na ocenę narządów miednicy. W badaniach wewnętrznych sondami dopochwowymi nie ma konieczności wypełniania pęcherza moczowego. Badanie wykonuje się wtedy z pustym pęcherzem moczowym.
Jak wygląda badanie?
USG jest badaniem nie bolesnym, zwłaszcza ultrasonografia przez powłoki brzuszne.. Badanie wykonujemy w pozycji leżącej, po odsłonięciu odpowiedniej okolicy ciała. Badanie głowicą dopochwową może sprawiać niewielki dyskomfort w czasie zakładania sondy, ale najczęściej nie jest to dużym utrudnieniem. Ból w czasie badania zdarza się wyjątkowo, najczęściej, gdy uciskany sondą narząd, który jest objęty procesem zapalnym
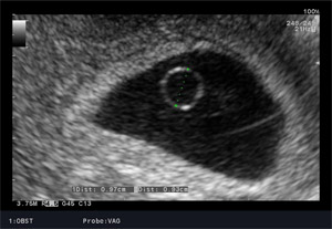
Czym jest badanie USG endowaginalne?
czyli inaczej dopochwowe. Badanie to stosowane w ginekologii do oceny zmian w miednicy. Wykorzystywane są specjalne, cienkie sondy umieszczane w jednorazowych gumowych osłonkach. Badanie nie wymaga wypełnienia pęcherza moczowego, a bliskość oglądanego w ten sposób narządu pozwala na bardzo dokładną ocenę macicy i jajników
Czy badanie USG jest szkodliwe dla zdrowia ?
Dawka wiązki ultradźwiękowej stosowanej w nowoczesnych aparatach posiada niewielka energię, dlatego badanie USG nie wywiera szkodliwego wpływu na ustrój człowieka i rozwój ciąży. Po ponad 30 latach wykonywania badań ultrasonograficznych - nie wykazano szkodliwości tego badania w czasie ciąży, nawet w pierwszych tygodniach po zatrzymaniu miesiączki.
Co to jest USG dopplerowskie?
Badanie dopplerowskie pozwala na ocenę przepływu krwi poprzez pomiar długości fal ultradźwiękowych, które odbijają się od poruszających się krwinek. Pomiaru dokonujemy w dużych tętnicach i żyłach. Badanie USG dopplerowskie służy do oceny tętniaków, zwężeń naczyń spowodowanych procesami chorobowymi, oceny wydolności naczyń żylnych. W położnictwie ocena przepływu krwi w tętnicy pępowinowej służy oceny prawidłowego rozwoju płodu i przebiegu ciąży..
USG CIĄŻY
We wczesnej ciąży najlepszy obraz daje sonda dopochwowa. Badanie musi odpowiedzieć nam na pytanie czy ciąża jest pojedyncza, czy mnoga? Czy jest żywa? Czy jest prawidłowo umiejscowiona? Z tego względu badanie USG przewyższa znacznie testy ciążowe. Od 4 miesiąca stosowane są przede wszystkim sondy przez brzuszne. Aktualnie Polskie Towarzystwo Ginekologiczne zaleca wykonanie w ciąży prawidłowej trzech badań USG: około 11 – 13+6 tygodnia ciąży, około 18 - 24 tygodnia ciąży oraz 28 - 32 tygodnia ciąży. Każde z tych badań ma celu ocenę aktualnego rozwoju i dobrostanu płodu. W niektórych przypadkach możliwe jest przewidywanie zagrożenia ciąży na kilka tygodni wcześniej.








USG prenatalne 11 - 13+6 tydzień ciąży
Jest to badaniem przesiewowym wykonywanym między 11 a 13+6 tygodniem (13 tygodni i 6 dni), które ma ułatwić wykrycie zespołu Down’a (trisomii 21 pary chromosomów) i trisomii 18 pary chromosomów. Badanie ultrasonograficzne wraz z badaniami biochemicznymi (białko: PAPP-A oraz wolną podjednostką beta hCG) określa ryzyko wystąpienia wad rozwojowych płodu, pozwala na ocenę rozwoju płodu. W pewnych przypadkach zalecane są dalsze, bardziej szczegółowe badania – oznaczanie DNA płodowego lub amniopunkcję genetyczną i prenatalne badanie ultrasonograficzne między 18-24 tygodniem ciąży.
Skuteczność badań
- Oszacowanie ryzyka jedynie na postawie wieku ciężarnej pozwala na wykrycie 30% przypadków zespołu Downa
- Skuteczność w wykrywaniu zespołu Downa oparta na wieku ciężarnej i pomiarze przezierności karkowej NT wynosi 70-80%
- Skorelowanie wieku matki, NT, beta hCG, PAPP-A pozwala wykryć 85-90% przypadków nieprawidłowości chromosomalnych.
- 65% przypadków zespołu Downa i 90% zespołu Edwardsa jest możliwe do wykrycia dzięki zastosowaniu tylko badania biochemicznego opartego na beta hCG i PAPP-A.
- Przy uwzlędnieniu dodatkowo pomiaru NT wykrywalność zespołu Downa sięga 85-90%, a zespołu Edwardsa - 97%.
- Uwidocznienie dodatkowo kości nosowej w czasie badania USG między 11 a 14 tygodniem ciąży podwyższa wykrywalność zespołu Downa do 95%.
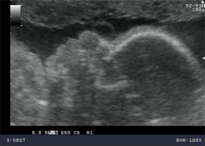
USG prenatalne 18-24 tydzień ciąży
Jest jednym z najważniejszych badań w opiece perinatalnej, polegającym na dokładnej ocenie anatomii i biometrii płodu. Wykonujemy pomiary długości kości udowej – (Femur length - FL); wymiaru dwuciemieniowego główki płodu (Biparietal diameter - BPD); obwodu główki płodu (Head circumference – HC) oraz obwodu brzuszka płodu (abdominal circumference - AC). Na podstawie tych parametrów możemy ocenić prawidłowe wzrastanie oraz masę płodu.
Jest to okres najlepszej dostępności dla oceny struktur płodu w czasie życia wewnątrzmacicznego.
W czasie badania ultrasonograficznego możemy szczegółowo ocenić struktury ośrodkowego układu nerwowego, układu moczowego, pokarmowego, kostnego, a także serca, kończyn, twarzoczaszki, łożyska i płynu owodniowego.
USG z kolorowym Dopplerem
Badanie ultrasonograficzne umożliwia dokładny przebieg małych naczyń zaopatrujących poszczególne struktury. Kolorowy Doppler pomaga w ocenie niektórych szybko rosnących guzów, w tym nowotworów złośliwych. W rozwoju ciąży powikłanej – kolorowy Doppler umożliwia ocenę przepływu krwi w małych, niewykrywalnych zwykłym badaniem USG naczyń płodu.
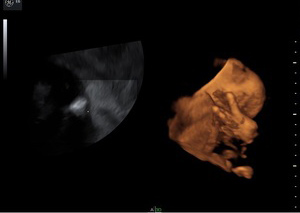
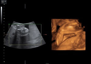
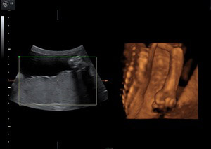
USG 3D / 4D
W nowoczesnych wysokiej klasy aparatach ultrasonograficznych istnieje możliwość przetwarzania danych z badania dwuwymiarowego co umożliwia pokazywanie obrazów trójwymiarowych badanych struktur płodu w czasie rzeczywistym.
Ultrasonografia trójwymiarowa 3D pozwala na uzyskanie statycznych obrazów przestrzennych, które otrzymywane są w procesie obróbki komputerowej danych z badania dwuwymiarowego. Ultrasonografia 4D pozwala na uwidocznienie dynamicznego przestrzennego obrazu.
Ta nowa prezentacja (prezentacja 4D) pochodzi od dodania czwartego wymiaru jakim jest czas. Badanie płodu metodą 4D pozwala nie tylko na obrazowanie przestrzenne płodu ale również pozwala na obserwację ruchów twarzy, obserwację otwierania i zamykania oczu, ruchów języka, ssania palców. Przy korzystnym ułożeniu płodu, w odpowiednim wieku ciążowym ( najlepiej pomiędzy 15. a 35. tygodniem ciąży) możliwa jest diagnostyka szeregu wad rozwojowych płodu. Badanie 4D pozwala też na precyzyjne obrazowanie rozwoju płodu i umożliwia podejrzenie wyglądu dziecka, którego wygląd jest niemal identyczny z jego rzeczywistym wyglądem.
Zastosowanie techniki 3D i 4D ma szczególne zastosowanie w położnictwie. Umożliwiają precyzyjną ocenę narządów wewnętrznych płodu, np. serca, mózgowia, kręgosłupa, twarzy oraz w sposób istotny pozwalają na zwiększenie wykrywalności wad budowy płodu .





